3D打印后装+无痛后装=精准+舒适!柳州市工人医院肿瘤诊疗中心后装治疗进入新时代!

2023-05-14 08:33宣传科

 

宫颈癌是女性最常见的妇科恶性肿瘤,大部分就诊时已属中晚期。中晚期宫颈癌标准治疗方式为根治性外照射放疗+同期化疗+后装治疗,对于IIB大肿块和IIIB、IVA期等分期偏晚的宫颈癌,后装治疗一般需要采取插值技术,以达到满意的放疗剂量分布以保证疗效。

 

目前国内外后装治疗已经进入三/四维后装治疗时代,但后装治疗亦有其“痛点”,目前国内医院的后装治疗,普遍均是在患者清醒状态下,进行腔内B标准施源器放疗或插植放疗,部分患者会在扩宫、探宫、放置施源器、宫旁插植、调针等操作过程中产生强烈的疼痛感,尤其阴道狭窄或者需要扩宫的患者,部分患者在放置施源器的过程中,容易出现情绪紧张、全身肌肉收缩、疼痛难忍等不适;而对于大多数中晚期的宫颈癌,肿瘤常高位侵犯宫旁、盆壁和膀胱直肠,若想要达到满意的放疗剂量分布以保证疗效,需要一定深度和高度的插值,若患者难以配合医生完成操作,直接影响治疗效果,部分患者会因疼痛难忍而放弃治疗。

 

 

柳州市工人医院肿瘤诊疗中心腹部盆腔肿瘤一、二病区近日收治了一名宫颈鳞癌IIIB期患者,宫颈肿瘤巨大(6.2*5.4cm),侵犯右侧盆壁、左侧宫旁和膀胱后壁,已在外院行外照射放疗,就诊肿瘤诊疗中心腹部盆腔肿瘤一、二病区拟后装治疗以完成整个放疗疗程。

 

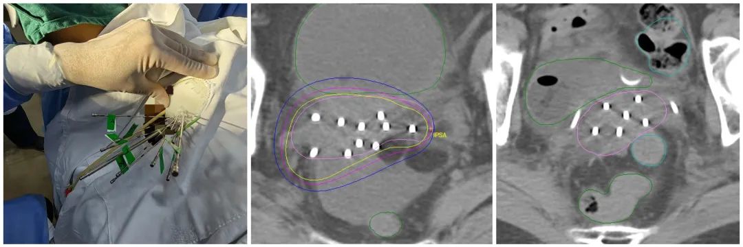
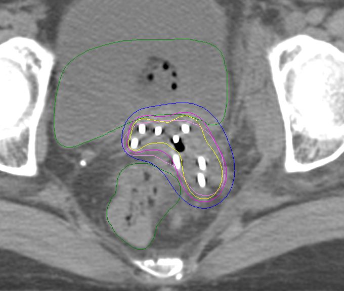
考虑到患者肿瘤大侵犯广泛,膀胱和盆腔侧壁高位侵犯,外照射结束后宫颈及双侧宫旁盆壁仍有明显肿瘤残留,因后装治疗进针路径通常为阴道,插值难度较大,较难布针布源满意达到合适的放疗剂量分布,同时患者对疼痛非常敏感,对后装治疗很抗拒。经治疗小组讨论后,与患者及家属沟通,拟予患者实施人工智能3D打印模板引导三维无痛插值后装治疗,鉴于是无痛和精准的治疗,患者和家属考虑愿意接受。

 

 

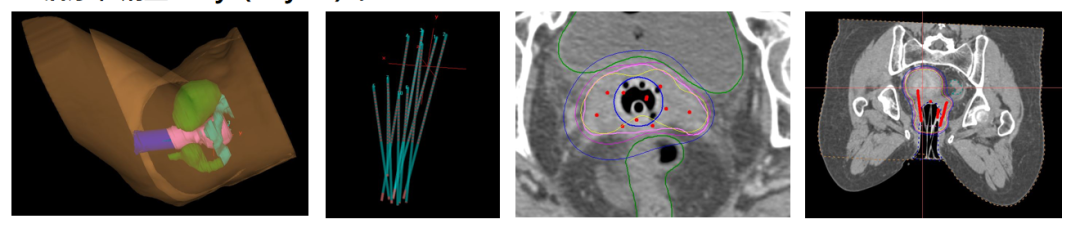
我们治疗上首先对患者进行模拟定位,制定出3D打印虚拟计划并设计针道,设计患者个体化3D后装模板,并制定周密个性化的精确放疗计划。麻醉科进行麻醉评估无禁忌症后,在B超实施超声引导给予患者行3D后装模板插植施源器植入。

 

后予患者行定位CT扫描,调整插值针位置深度,实时勾画三维后装靶区,放疗物理师制定出放疗计划,验证计划核查无误后,后装技师开始实施后装放疗。

 

 

 

 

柳州市工人医院肿瘤诊疗中心常规开展妇科肿瘤的三维/四维近距离后装和个体化3D打印模板人工智能引导插值后装治疗技术多年,目前在常规3D打印模板人工智能引导插值的“多维度精准后装”基础上,联合麻醉科超声科组成的多学科团队,实时监护,为插植开启了保驾护航的翅膀,后装放疗进入舒适化精准近距离时代!

 

后 装 放 疗 科 普

后装放疗又称近距离放疗,主要通过将放射治疗的施源管或插植针直接放置于肿瘤表面或插入肿瘤组织内,连接后装治疗机后放射源可直接从肿瘤表面或内部对肿瘤进行局部治疗,属于放射治疗的一种类型。后装治疗实用于多种恶性肿瘤,在宫颈癌、子宫内膜癌、外阴癌等妇科恶性肿瘤是治疗不可缺少的部分。

 

 目前后装放疗技术经过数十年发展,已由二维后装治疗发展到三维后装放疗和四维自适应近距离后装放疗。二维后装治疗基于X线摄片进行靶区勾画,缺乏对肿瘤靶区和正常器官的精确定位,治疗精确性和个体化性差,无法准确评估肿瘤靶区和正常器官的照射剂量,故不良反应也较大。三维/四维后装治疗是基于CT/MRI引导下的后装治疗,能够根据每次治疗时肿瘤及正常器官的变化情况准确评估肿瘤靶区和正常器官的照射剂量,在提高治疗效果同时降低不良反应,是国内外目前最先进和常用的后装治疗方式,其中,3D打印个体化共面/非共面模板引导下的后装插植治疗,是目前最精确个体化的后装治疗技术。

 

 

柳州市工人医院肿瘤诊疗中心是柳州市妇科肿瘤近距离治疗智能引导系统工程技术研究中心,妇科肿瘤近距离治疗3D打印临床转化基地,在治疗妇科肿瘤上,拥有螺旋断层放疗系统TOMO、荷兰核通公司MicroSelectron进口后装治疗机、西门子CT定位机(CT-SIM)等当今最先进的放疗设备,技术力量雄厚。已成熟开展三维/四维后装治疗多年,在徒手高难度插值有较成熟的经验,对于3D打印个体化共面/非共面模板引导下的后装插植治疗,在肿瘤负荷大,病变累及广泛等情况下,取得了很好的临床疗效。 

 

READING

肿瘤诊疗中心介绍

 

柳州市工人医院肿瘤诊疗中心是广西医疗卫生重点学科,柳州市癌症防治中心,柳州市肿瘤学人才小高地,柳州市临床重点专科,柳州市工人医院重点学科,柳州市医学会肿瘤学分会、柳州市肿瘤化学治疗、放射治疗质量控制中心主任委员单位,国家住院医师规范化培训基地,国家新药临床试验资质单位,国家博士后科研工作站博士后联合培养点。

 

 

集肿瘤化疗、靶向治疗、生物免疫治疗、放射治疗、微创治疗及姑息医学为一体的肿瘤专科。根据瘤种下设7个亚专业临床病区,配设放射治疗中心、热疗中心、宁养中心及日间治疗病房。开放床位333张,现有员工160余人,其中高级职称人员17人,先后培养博士8人。拥有广西区优秀专家1人,广西139高层次人才1人,柳州市新世纪个十百人才工程第二层次人才2人、第三层次人才1人,柳州市科技拔尖人才3人,优秀青年科技人才2人;柳州市第一批享受特殊津贴名医1人;硕士研究生导师6人,博士后研究工作站联合培养导师3人。

 

 

配备广西首台第四代螺旋断层放射治疗系统(TOMO)、美国瓦里安Trilogy直线加速器、荷兰核通MicroSelectron多通道三维后装机等大型放疗设备,可开展当前国际先进的放射治疗技术,并率先在柳州开展了三维后装放射治疗。中心还同时开展放射性粒子植入、肿瘤射频消融等区域领先的微创治疗技术,并在柳州率先启用NRL-004型射频热疗机开展肿瘤热疗,拥有丰富的肿瘤治疗手段。

 

广西首台第四代螺旋断层放射治疗系统(TOMO)

 

近年来中心先后承担国家自然科学基金,广西重点研发项目,广西自然基金及厅市级课题研究50余项,获得广西科技进步三等奖2项,广西医药卫生适宜技术推广奖一等奖2项等广西各级科技奖近30项,在SCI、核心以上期刊发表论文百余篇。

 

柳州市工人医院肿瘤诊疗中心:

柳石路1号(鱼峰山旁)5号楼7-12层

 

腹部、盆腔肿瘤,淋巴瘤骨髓瘤一病区、二病区(肿瘤一、二病区)

地址:柳石路1号,工人医院鱼峰山院区5号楼7楼-8楼

咨询电话:0772-3836539

 

头颈部、乳腺肿瘤一病区、二病区(肿瘤三、五病区)

地址:柳石路1号,工人医院鱼峰山院区5号楼9楼-10楼

咨询电话:0772-3815405

 

胸部、泌尿系肿瘤一病区、二病区(肿瘤六、七病区)

地址:柳石路1号,工人医院鱼峰山院区5号楼11楼-12楼

咨询电话:0772- 3861729

 

鱼峰山院区特需病区

地址:柳石路1号,工人医院鱼峰山院区3号楼14楼

咨询电话:0772-3859303

 

放射治疗中心

地址:柳石路1号,工人医院鱼峰山院区8号楼1楼

咨询电话:0772-3815333

 

宁养中心

广西唯一为贫困的晚期癌症患者免费提供镇痛治疗、舒适护理、哀伤辅导等宁养照护的医疗慈善机构。

地址:柳州市鱼峰区乐群路2号

咨询电话:0772-3812267

 

更多我院平台二维码
微信公众号
智慧医院