工医靠谱!旅美华人打“飞的”来柳做达芬奇机器人手术
2024-07-26 16:41宣传科
“工医的达芬奇机器人甲状腺手术太棒了!”近日,柳州市工人医院甲状腺外科病房,康复出院的患者丁先生对主刀医生蒋汉城竖起拇指,连声赞叹。
今年53岁的丁先生是旅美华人,在美国生活工作20余年,前不久专程打“飞的”从大洋彼岸来到柳州做手术。
为何他要“舍近求远”回国手术?
原来,丁先生去年在一次体检时发现左侧甲状腺结节,有恶性病变的风险,美国的医院建议手术治疗,同时给出了开放手术和达芬奇机器人手术两套方案。
开放手术创伤大,疤痕明显,术后恢复慢。达芬奇机器人手术属于微创手术,损伤小,手术效果更好,丁先生更倾向于做达芬奇机器人手术。
不过了解到手术费用后,丁先生打起了退堂鼓——美国的达芬奇机器人手术费用七万多美元,折合人民币50多万元!而且还得排到半年后。
考虑再三,丁先生萌生了回国手术的想法。
今年春节,丁先生来柳探亲时与亲友提及此事,亲友向他推荐柳州市工人医院,于是他专程到医院做了一次体检。
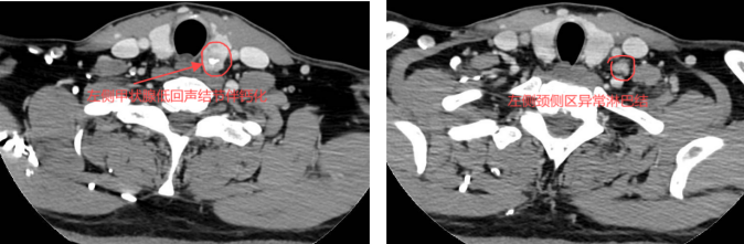
经检查,丁先生左侧甲状腺低回声结节-4b级,且合并左侧颈侧区淋巴结异常。为进一步诊治入住我院甲状腺外科,经过全面检查评估后诊断:1、左侧甲状腺结节——恶变可能?2、左侧颈侧区淋巴结异常-转移可能?术前增强CT提示:左侧甲状腺低回声结节伴钙化及左侧颈侧区异常肿大淋巴结。

术前增强CT提示:左侧甲状腺低回声结节伴钙化及左侧颈侧区异常肿大淋巴结
丁先生毫不犹豫决定在我院进行达芬奇机器人手术。前不久,丁先生专门请假,打“飞的”从美国飞到柳州进行手术。


蒋汉城主任(上图)及团队在达芬奇机器人手术中

丁先生出院时与医护人员合影
出院时丁先生感慨:国内看病太方便了,工医的技术棒棒的!
科室简介
专科特色:
1、低领弧形小切口手术:开展低领弧形小口常规开放手术治疗甲状腺及甲状旁腺疾病,同时联合多学科MDT团队治疗慢性肾功能不全继发甲状旁腺功能亢进,很大程度改善了该类病人的预后。

达芬奇机器人手术团队
2、腔镜甲状腺手术:开展以经口腔前庭入路为主的兼并经胸乳晕及经腋窝等多种入路腔镜甲状腺手术,适合各种不同人群的需求,达到与开放手术治疗效果一样的同时,避免颈部无疤痕的美容效果,真正实现“治病-美容”双丰收。
3、经皮穿刺甲状腺良性肿瘤微波消融术:针对一些甲状腺良性病变,采用经皮穿刺微波消融术,实现更加创伤小、康复快以及最大限度保护甲状腺功能,避免术后需要长期服药的目的。

4、达芬奇机器人腔镜技术:达芬奇机器人手术是继开放手术、腹腔镜手术后的第三代外科手术,代表着微创外科领域最高技术和前沿水平,利用其放大10倍的3D手术成像效果,为手术医师提供高清的解剖手术视野,在腔镜下能够更加精细的完成手术操作,在彻底切除甲状腺病灶及淋巴结清扫的同时,能够更加精准的保护喉返神经及甲状旁腺功能,提高手术效果。

“您的到来我们倍感荣幸,您的满意我们永远追寻” 我们团队将提供优质技术服务,让您快速回归您的正常工作与生活。
科室咨询电话:
护士站:0772-3810016
医师办公室:0772-3810015


