一岁多小孩被碎骨头堵气道险酿悲剧,医生提醒……
2022-05-12 10:40宣传科
5月9日,来自柳江区一名1岁8个月的孩子因咳喘11天,被父母送到柳州市工人医院。
据小孩家长说,孩子11天前突然不明原因的出现咳嗽、咳喘,在当地医院就诊后一直没好,由于当地医疗条件有限,医生建议转上级医院救治。
柳州市工人医院儿科主任劳金泉接诊后,考虑是气道内存在异物,在做了CT后,证实患儿气道内存在异物,医护人员立即展开抢救。

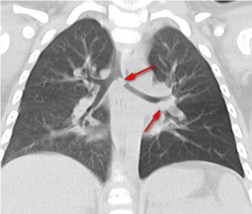
CT片显示有异物
科室小组成员立即就位,准备好气管异物取出的相关器械,给患儿进行气管插管及呼吸机辅助通气。

气管镜下看到的异物
气管镜伸入气管时,可见一颗碎骨头将左主支气管部分堵住。
确定位置后,医生先后予气管异物钳及异物套绳,历时不到一小时,,终于将异物全部取出,待患儿苏醒后拔出气管导管及撤出呼吸机,患儿呼吸恢复正常。

劳主任带领的团队在取异物

取出的异物
劳金泉主任介绍,今年他们已经接诊了多起小孩被异物卡喉的病例,孩子年龄主要集中在5岁以下。
劳主任提醒:5岁以下孩子咀嚼功能差、喉头保护性反射功能不全,在食用花生、蚕豆、开心果、松子等坚果食物时,可能会卡住气管,而这个年龄段的孩子又不太会表达,所以危险性比较大,所以最好不要给孩子吃坚果、果冻之类的零食,尽量将坚硬的食物弄碎再给孩子食用,还要让孩子细嚼慢咽,不要逗玩、嬉笑,也不要斥责、吓唬孩子,避免孩子哭闹、跑跳,以免呛着。
另外,更不能用好吃的来哄哭闹的孩子。同时,应定期检查孩子的玩具的零部件是否松脱,电池、螺丝钉、药丸等小物品是否放在安全地方,以免孩子误服,因为孩子在这个年龄段,对一些物体比较好奇,会将其放进嘴里,这也会导致异物进入气管。

如果出现气管异物,可使用海姆立克急救方法进行急救,具体操作如下:
1、婴幼儿:采取头低脚高位,让患儿头面部朝下,操作者左手把住患者颜面及颈部,用右手轻拍患者的后背,以促进异物排出;
2、儿童:可使患儿仰面朝上,同时用食指、中指、无名指3个手指按住上腹,反复多次进行冲压,通过气流促使异物排出;
如果表现为脸部发青,伴有急促的咳嗽,家长一旦发现这些症状,首先不能给孩子进水、进食物,应立即带孩子就近到大医院进行救治。


