告别侧弯困扰,唤醒身体正位——工医2025脊柱健康重塑计划正式启动!
2025-02-11 11:56宣传科


脊柱健康重塑计划

活动时间:2025年2月10日至2025年8月15日
活动对象: 所有来市工人医院中医骨科进行脊柱侧弯矫正的患者。
就诊地址:西院门诊二楼中医骨科门诊。
活动内容: 活动期间,凡来我院中医骨科进行脊柱侧弯矫正的患者,均可享受以下优惠:免费体验理疗项目(三选二):磁疗、中频、拔罐。
体验时长: 两天

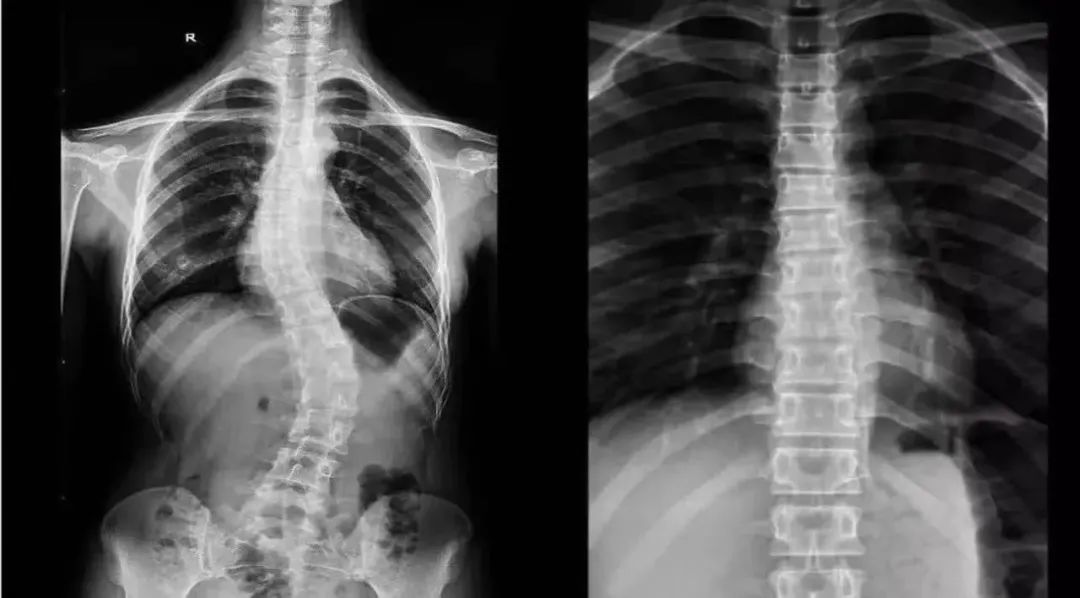
什么是脊柱侧弯?
脊柱侧弯是指脊柱偏离身体中线向侧方弯曲,形成一个维度或多个维度方面的脊柱畸形,会导致一系列姿势体态、功能活动异常、疼痛等。临床上只有当侧弯角(Cobb角)>10°的时候,才能诊断为脊柱侧弯

造成脊柱侧弯的原因

通常脊柱侧弯早期没有什么症状,因此常常被家长忽略,但若没有及时发现、及时治疗,会造成高低肩、长短腿、身体畸形、背痛,弯曲严重者会导致胸廓旋转畸形和胸廓容积下降,影响心肺功能,从而导致呼吸困难,脊柱侧弯严重者甚至导致瘫痪,作为家长一定要重视!
常见的脊柱侧弯类型
特发性脊柱侧弯(原因不明(最普遍),常见于儿童和青少年)
退行性脊柱侧弯(脊椎间盘退化,常见于老年人)
神经肌肉脊柱侧弯(神经肌肉病变,常见于肌肉疾病人群)
先天性脊柱侧弯(先天缺陷,常见于先天缺陷人群)

解决方案
✅ 精准评估,定制方案
3D体态扫描+专业医生触诊,精确测量Cobb角,根据侧弯类型(C型/S型)及程度制定个性化矫正计划。

✅ 国际认证疗法体系
融合「施罗斯脊柱矫正操」「神经肌肉激活技术」「动态关节松动术」,针对性强化薄弱肌群,重建脊柱对称性。
✅ 疼痛缓解&功能提升
通过筋膜松解、核心稳定性训练,有效缓解腰背疼痛,提升运动表现,预防侧弯加重。
✅ 特色中医治疗
开展无痛针灸—弹针速刺进针法
开展“北派”推拿技术
开展“七星针法”针灸技术
开展“微正骨”技术:见效快、无风险


中药、冲击波、牵引、拔罐(放松痉挛肌肉、缓解疼痛)

四维牵引治疗仪(多方位多维度牵引)

适合人群
▷ 青少年特发性脊柱侧弯(Cobb角10°-40°)
▷ 成人功能性脊柱侧弯伴疼痛
▷ 长期伏案导致的体态失衡(高低肩/骨盆旋转)
▷ 希望避免手术或支具干预的侧弯群体
[自我检测]
怎么发现孩子是不是脊柱侧弯呢?通常看以下特征:

☞两肩高低不平
☞两侧肩胛骨不等高
☞胸廓不对称
☞脊柱偏离中线
☞一侧腰部皱褶皮纹
☞前弯时背部不对称,形成“剃刀背”
☞部分可有背部不适、疼痛等症状

温馨提示


扫码咨询


